Protesi dentali Milano: affidati al Centro Dentistico Ortelli per un sorriso perfetto.
Per la realizzazione di protesi dentali a Milano, il Centro Dentistico Ortelli, situato in Via Domenichino 19 (Fermata Amendola Fiera), è il punto di riferimento per chi cerca soluzioni personalizzate e di alta qualità. Presso il nostro studio offriamo sia protesi fisse che mobili, progettate su misura per ripristinare estetica, funzionalità e salute orale.
Protesi dentali: fisse o mobili, la soluzione ideale per ogni esigenza.
La protesi dentale è una branca dell’odontoiatria che si occupa del ripristino di denti mancanti o della riabilitazione di denti molto compromessi. Si divide in:
- Protesi fissa: Costituita da corone singole o ponti fissati in modo permanente.
- Protesi mobile: Utilizzata per sostituire intere arcate dentarie o parte di esse, facilmente rimovibile dal paziente.
Protesi fisse: estetica e funzionalità in un’unica soluzione.
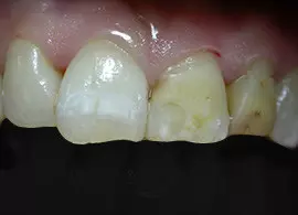
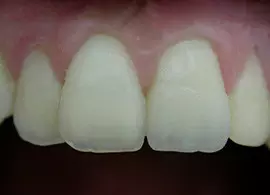
Le protesi fisse, come corone singole e ponti, sono fissate attraverso cementazione su elementi dentali pilastro e non possono essere rimosse dal paziente.
- Corone singole: Ideali per proteggere denti fragili, come quelli devitalizzati, ripristinando funzione ed estetica.
- Ponti dentali: Utilizzati per sostituire denti mancanti, appoggiandosi sui denti adiacenti opportunamente limati. Questa tecnica consente di ripristinare anche intere arcate dentarie.
Presso il Centro Dentistico Ortelli utilizziamo materiali all’avanguardia, come lo zirconio e la ceramica integrale, che garantiscono un risultato estetico naturale e una lunga durata. Grazie alla tecnologia CAD/CAM, realizziamo protesi altamente precise e personalizzate.
Protesi mobili: soluzioni pratiche e versatili
Le protesi mobili, progettate per sostituire intere arcate dentarie o porzioni di esse, possono essere rimosse dal paziente in qualsiasi momento. Questa opzione è ideale per chi cerca una soluzione versatile e semplice da gestire.






Materiali di qualità e tecnologie avanzate
Il Centro Dentistico Ortelli. si distingue per l’utilizzo di materiali tecnologicamente avanzati e biologicamente compatibili. Le nostre protesi garantiscono robustezza, estetica impeccabile e una perfetta integrazione con la bocca del paziente. I nostri trattamenti protesici, che includono anche faccette dentali, sono progettati per offrire un sorriso naturale e funzionale, migliorando significativamente la qualità della vita.
Protesi dentali Milano: prenota la tua visita oggi stesso.
Non sottovalutare il problema della perdita di uno o più denti: l’edentulia non è solo un inestetismo, ma può avere importanti conseguenze sulla funzionalità masticatoria e sulla salute generale.
📍 Indirizzo: Centro Dentistico Ortelli, Via Domenichino 19, Milano (zona Amendola Fiera)
📞 Contatti:
- Telefono: 02 4812518
- Email: info@studioortelli.com
La nostra equipe di specialisti in Odontoiatria, Ortodonzia, Implantologia, Parodontologia e terapie conservative ti aspetta per offrirti trattamenti personalizzati e protesi di ultima generazione.
Affidati alla competenza e professionalità del Centro Dentistico Ortelli: ti garantiamo una prima visita entro 24 ore per le urgenze e un servizio di eccellenza per ripristinare il tuo sorriso e il benessere della tua bocca.





